Bone Cancer begins when bone cells multiply, usually and rapidly, and begin to break down the bone. Bone Cancer cells can also break away from the bone and travel to other bones, or other organs in the body when they can continue to grow as secondary tumours.
Primary Bone Cancer is very rare. More often, people with cancer in their bones have a secondary cancer from somewhere else in the body. When the secondary cancer starts to grow within the bone, it still represents the original cell type (ie. a breast cancer cell, or a lung cancer cell for example), and is best treated as such.
While any cancer type can spread to the bone, the most common are breast, lung, kidney, thyroid, and prostate. Bone metastases most often arise in the hip, thighbone, shoulder, and spine.
There are many types of Bone Cancer, the most common being:
Osteosarcoma
Chondrosarcoma
Ewing Sarcoma
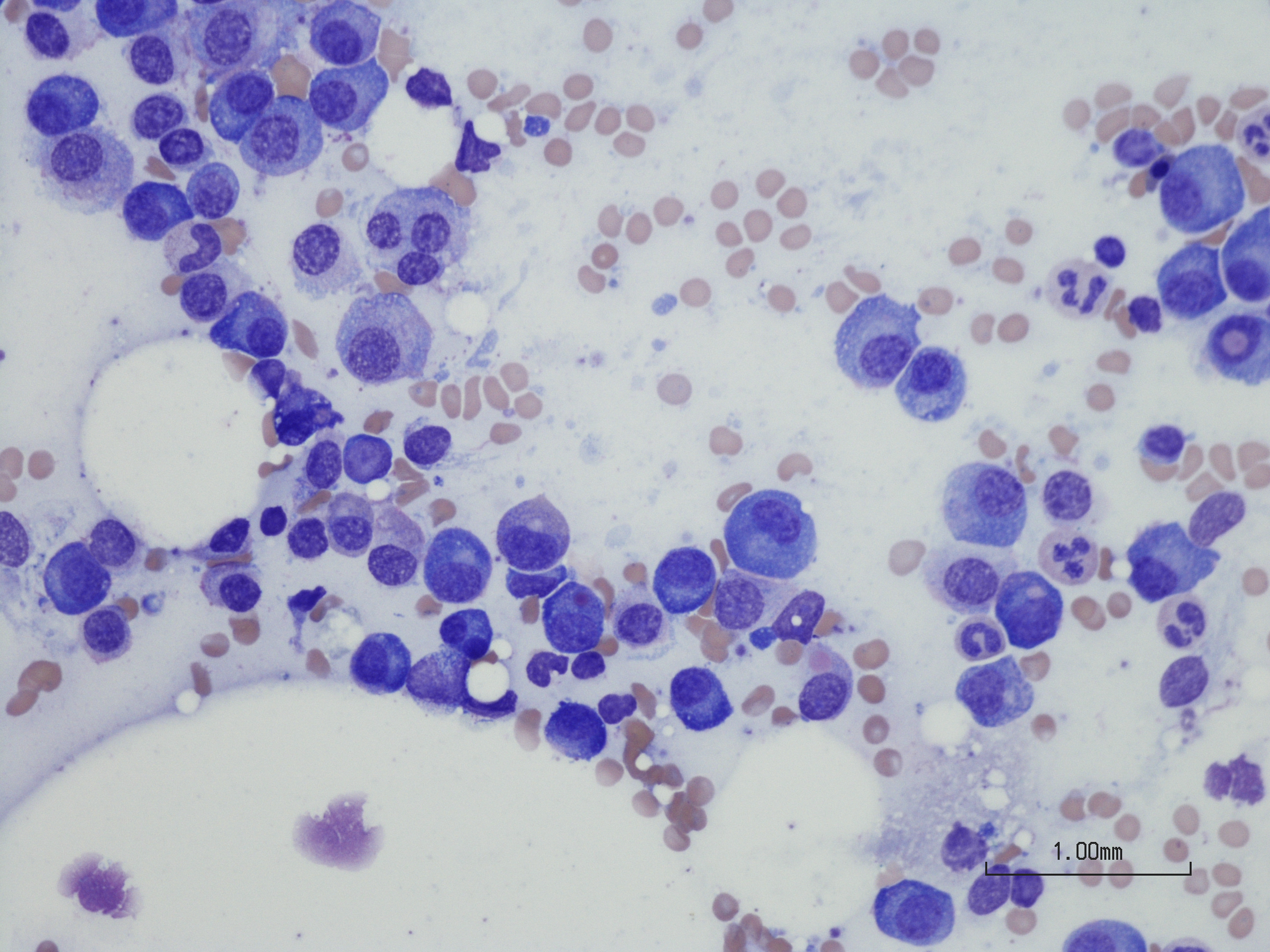
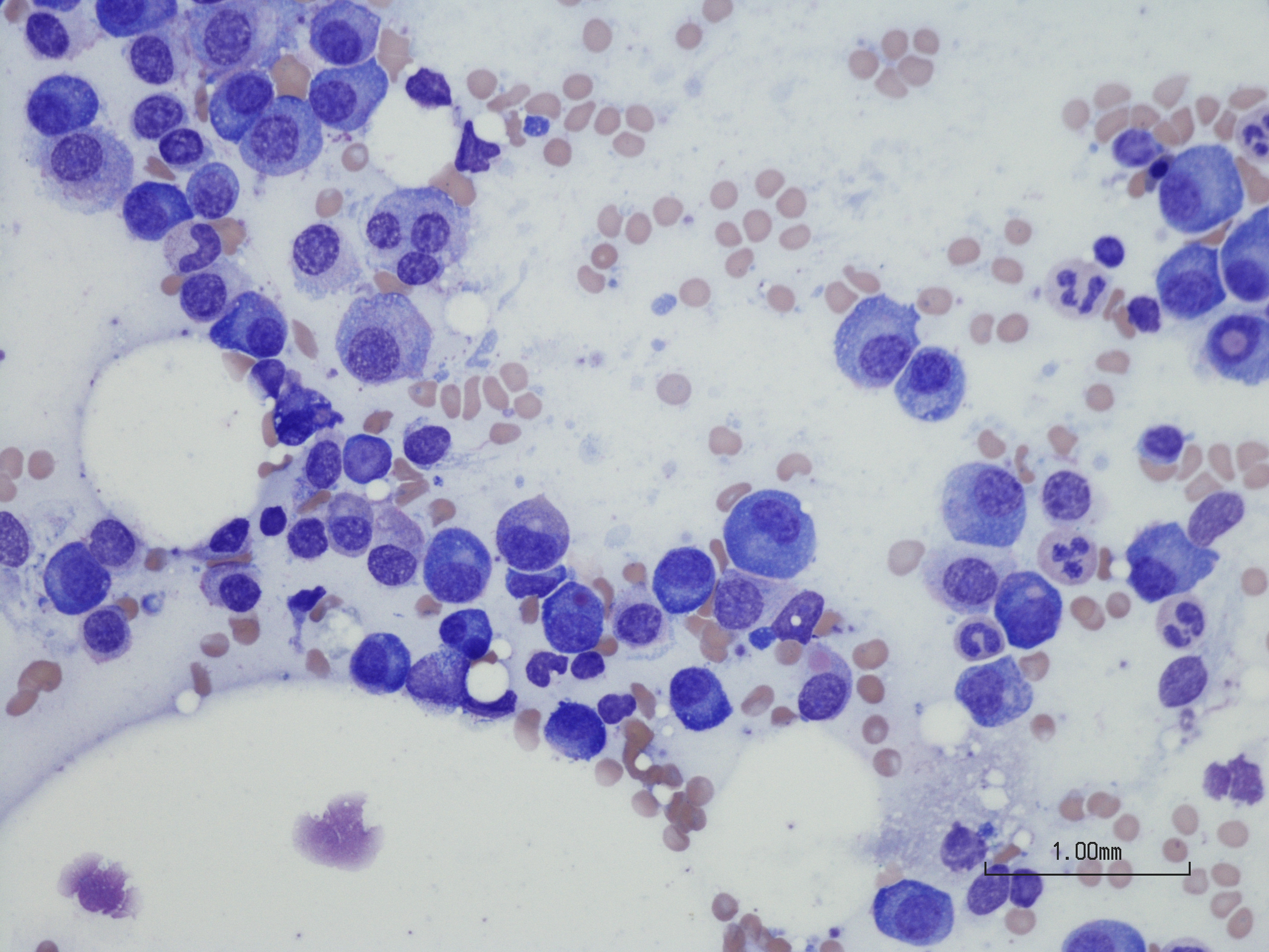
Inside some of our bones is a space filled with bone marrow – this is where blood cells are made. Cancers that arise in the cells produced in the bone marrow (like leukaemia, multiple myeloma and lymphoma) are not considered bone cancers even though they do certainly affect the bone, and may require orthopaedic management.