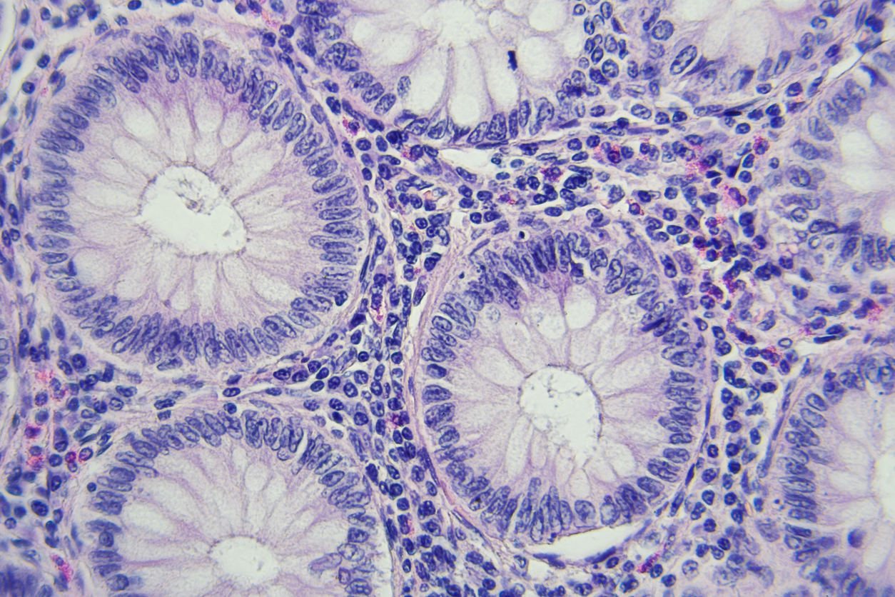
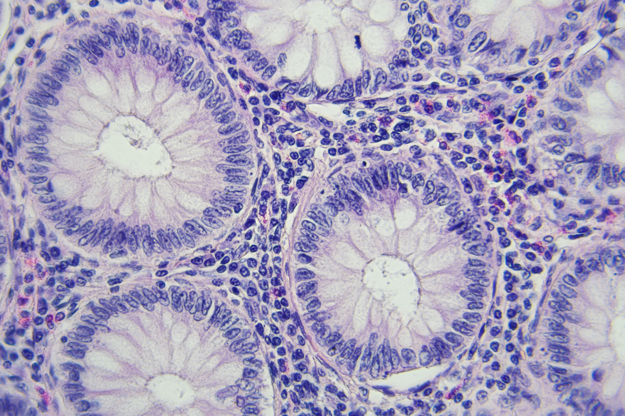
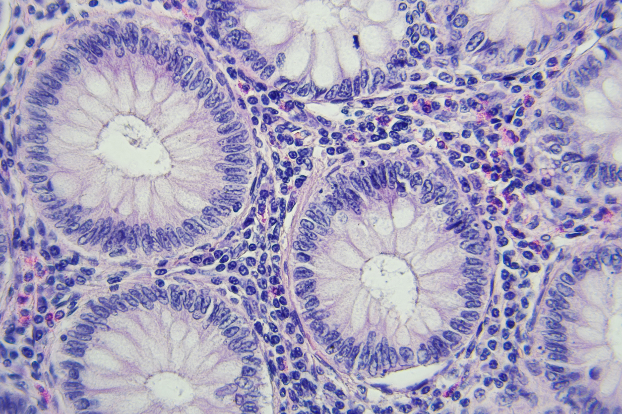
Bowel Cancer occurs when abnormal cells in the wall of the large intestine grow in an uncontrolled way. Bowel Cancer refers to any cancer that starts in the large intestine. It is also referred to as; Colon Cancer, Rectal Cancer or Colorectal Cancer – depending on where it is found in the intestine.
Bowel cancer is caused by the mutation of genes that cause cells in the large intestine to reproduce abnormally and form polyps. Most bowel polyps are not cancerous, but some polyps may become cancerous if left to grow into tumours.
Colorectal cancer most commonly develops in the lower part of the descending colon, the sigmoid colon or rectum.
Bowel Cancer can spread when cancer cells break off from the cancerous tumour and travel through the bloodstream or lymphatic system, to other parts of the body. This is called metastasis. It’s not uncommon for Bowel Cancer cells to spread to other parts of the bowel or to other body parts such as the liver, the pelvis or the abdomen. This often occurs over several years.
There are several different types of Bowel Cancers. Each one is identified by the type of cells in which it originated.
About ninety-five percent of Bowel Cancers are adenocarcinomas and start in the gland cells in the lining of the bowel wall.
Other types of Bowel Cancer include the following:
Staging describes the size and severity of the cancer and helps to inform the diagnostic and treatment approach.
Stage 0 – cancerous cells are found in the innermost layer of the bowel wall.
Stage 1 – cancerous cells may have spread to the muscle layer of the colon wall.
Stages 2A-C – indicate a localised spread, while
Stages 3A-C & 4 – advanced or secondary bowel cancer stages that indicate either a local or distant spread.
A sign is a presentation that can be seen or felt by someone else. In some cases, Bowel Cancer may present a mass or lump in the abdomen or in the rectum that can be detected during a doctor’s exam.
A symptom is a feeling or something unusual you notice, such as fatigue, weakness or cramping.
When the cells of a polyp are abnormal and reproduce rapidly, the polyp grows large and the cells begin to form a cancerous mass or tumour. Many of the symptoms of Bowel Cancer may not occur until the tumour has grown and the cancer has advanced. Then, the symptoms produced by the tumour will largely depend on the where it is located in the large intestine.
Bowel Cancer and the tumours can hinder the large intestine’s ability to absorb nutrients and to rid the body of waste products, causing changes in bowel movements and unexplained weight loss. Also, tumours that bleed can lead to a shortage of red blood cells, causing anaemia which leads to fatigue and weakness.
It’s important to note that many Bowel Cancer signs and symptoms are also associated with other diseases and conditions and may not necessarily indicate Bowel Cancer.
Early Bowel Cancer may not produce any signs or symptoms. As it advances and the tumour grows or multiplies, it may produce one or more of the following symptoms.
Other symptoms may include fatigue, weakness and unintended weight loss.
Many of the symptoms related to Bowel Cancer can also be caused by other illnesses, such as irritable bowel syndrome. Certain medications and foods can also cause some of these symptoms. It’s important to discuss any changes or symptoms with a doctor.
Treatments for Bowel Cancer differs depending on the stage of the cancer and how far it has spread but generally include surgery, radiation and chemotherapy.
Bowel Cancer is usually treatable if caught early. Regular screenings are an important step in prevention.
A number of tests may be performed to confirm a diagnosis. Some of the more common tests include:
Treatment depends on the size of the tumour, how deeply the cancer has penetrated the layers of the colon or rectum and whether it has spread to other organs, including the liver or lymph nodes. If the cancer is limited to a polyp, a surgical procedure called a colonoscopy to remove it could cure the disease.
If surgery is needed there are certain treatments that can be given depending on the stage and location of the cancer:
If the cancer has spread to the colon, a surgeon may remove a portion of the bowel in a hemi-colectomy procedure, along with nearby lymph nodes. Laparoscopic technology and advances in fibre optics mean surgeons can often perform the procedures using small incisions that minimise patient discomfort and recovery time.
If the cancer is in the rectum, surgery can be more complex. Just as a lumpectomy for breast cancer removes as little of the healthy breast tissue as possible, if small cancers in the rectum haven’t grown through the bowel wall they may be removed locally.
If the cancer has grown through the rectum wall or spread to lymph nodes, more extensive surgery could be required.
After treatment for Bowel Cancer, regular follow-up examinations and/or medical tests need to be done to look for any signs of the cancer returning, as well as to check for any late effects caused by treatment.
During and after recovery, healthy lifestyle practices are encouraged, such as maintaining a healthy weight, being physically active, not smoking, and eating well.
Aside from the presence of polyps (especially large polyps, or a large number of them), there are a number of other factors thought to increase a person’s risk of developing Bowel Cancer. These include:
In addition, several lifestyle related factors have been linked to Bowel Cancer, including:
In most cases where DNA mutations lead to Bowel Cancer, these mutations are not inherited. It is not yet understood what causes them, although in many cases there appears to be involvement of a gene called the APC gene. Other genes are also be involved in causing cells to grow and spread uncontrollably, and research is continuing to try to understand these factors.
Some factors associated with the development of Bowel Cancer such as family history and age cannot be prevented. If there is a family history of Bowel Cancer or you are over the age of 50, it is important to be screened on a regular basis.
Research suggests that a healthy diet rich in fibre from fruits, vegetables and whole grains along with regular exercise can reduce the risk of Bowel Cancer.