Chondrosarcoma is the second most common type of bone cancer. It is a cancer of the bone cartilage, which is the tough covering at the ends of our bones, and usually grows within a bone or on its surface. Cartilage plays an important role in bone growth, and there are many types of cartilage throughout the body.
The most common places chondrosarcoma is diagnosed are the pelvic bones, the shoulder bones, the knee, spine, upper parts of the arms and legs, and the ribs. It is usually a slow-growing cancer, and most prevalent in people over the age of 40 years old.
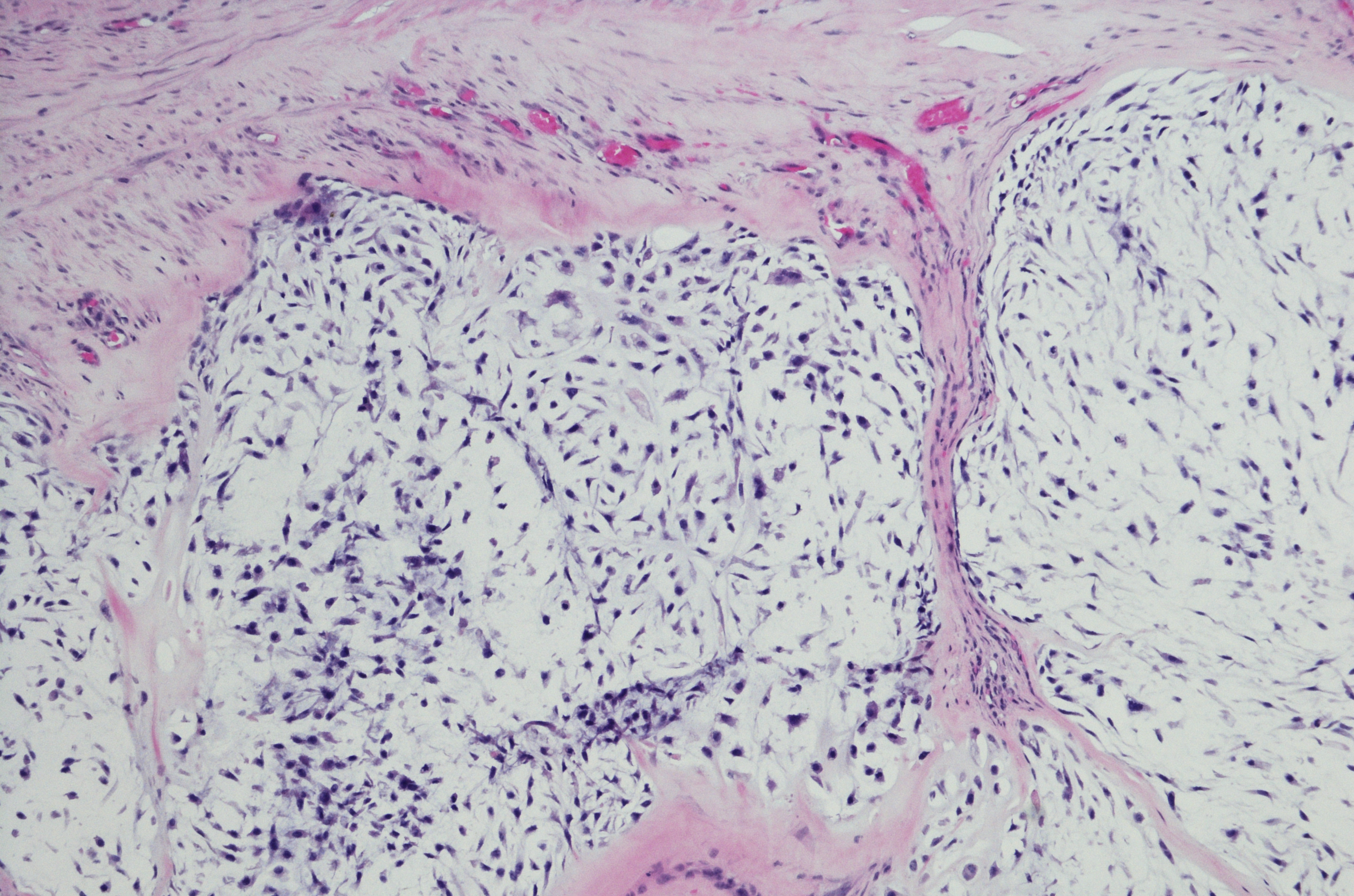
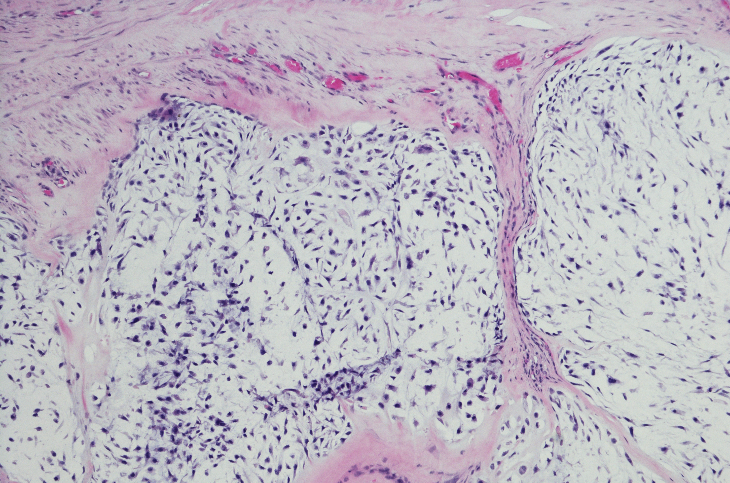
There are several subtypes of chondrosarcoma, named because of the way they appear under a microscope:
‘Conventional chondrosarcoma’ and ‘clear cell chondrosarcoma’ are most often low to medium grade tumours. They are generally not very aggressive and tend not to spread to other parts of the body.
‘Mesenchymal chondrosarcoma’ and ‘de-differentiated chondrosarcoma’ are higher grade, aggressive tumors that tend to spread throughout the body.
Occasionally, people with chondrosarcoma will be able to feel a boney bump at the site of the cancer. They will likely experience pain at this site, pressure, swelling or limited movement caused by the tumour.
Any persistent bone pain (that lasts for a few weeks, without any other likely explanation) should be checked by your doctor or an orthopaedic specialist.
Chondrosarcoma is most often discovered through x-ray. Additional tests, including a bone scan, CT scan, MRI and/or PET scan will provide more detailed information, as it can be difficult to differentiate a benign bone tumour from chondrosarcoma. The surest way to diagnose, is through a biopsy procedure which will extract a sample of the cancer cells for analysis under a microscope.
The results of any imaging scans and the biopsy will inform the patient’s treatment options.
Historically, the preferred treatment of chondrosarcoma was through complete surgical removal of the tumour, together with a wide margin of healthy tissue, most often leading to amputation.
However, major improvements have been made in surgery for most bone cancers and the surgery can be more targeted. While surrounding tissue will still need to be removed together with the tumour, the affected bone area is then often replaced with a metal prosthesis or a bone graft (taken from another part of the body) to assist recovery.
If the cancer affects a bone in or near a joint, the whole joint can often be replaced with a prosthesis. These operations are known as ‘limb sparing’ surgery.
When it isn’t possible to use this surgery, for example, when the cancer has spread to surrounding nerve cells and blood vessels, an amputation might be the patient’s best option.
Chemotherapy and radiotherapy are rarely used to treat chondrosarcomas, although they might be advised in special situations.
A risk factor for Chondrosarcoma is often the following existing medical conditions: