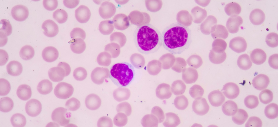
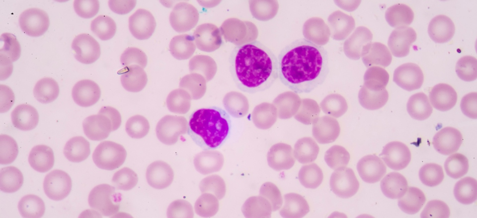
Chronic Lymphocytic Leukaemia (CLL) is a slow growing type of Leukaemia, characterised by its impact on developing B-lymphocytes (also known as B-cells).
Normal B-cells produce immunoglobulins (or antibodies) which fight infection and disease, so when they become leukaemic, they are unable to function properly.
CLL happens when these cells live longer than they should, and they build up in the bone marrow, blood stream, lymph nodes (glands) and other parts of the body such as the spleen or liver. The result of this overcrowding is that normal blood cell production is sacrificed, and inadequate numbers of red cells, normal white blood cells and platelets are produced.
Because CLL develops slowly, many people don’t experience strong symptoms and the disease is often found simply by a routine blood test. Once diagnosed, 30% of people will never require treatment. For other patients, symptoms are alike those of acute lymphoblastic leukaemia, and include:
Compared with Acute Lymphoblastic Leukaemia, the disease is slower to progress, and therefore considered lower-risk. A percentage of patients won’t require treatment, but for those that do, chemotherapy, steroids, and or monoclonal antibodies (which target abnormal lymphocytes) may be advised by your oncologist.
Occasionally, a stem cell transplant may be offered to younger patients.
Other treatments can include blood and platelet transfusions, and antibiotics. These therapies support the chemotherapy schedule by restoring normal blood levels and minimising symptoms.