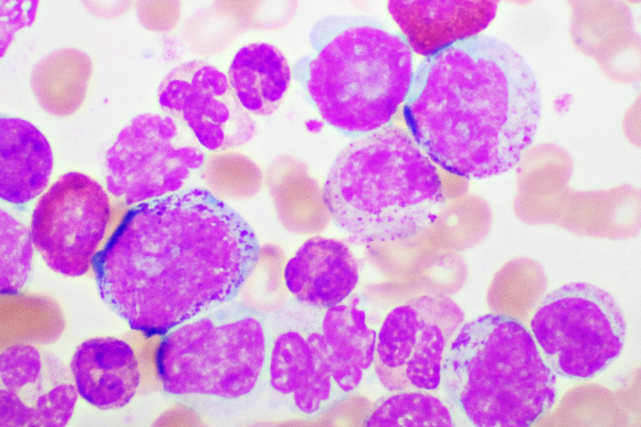
Commonly, Chronic Myeloid Leukaemia (CML – also called chronic myelogenous leukaemia) is caused by a genetic abnormality in the blood cells, called the Philadelphia (Ph) chromosome. It is a mutation in the DNA that causes the bone marrow to make an enzyme called tyrosine kinase, which in turn causes too many stem cells to become white blood cells.
In particular, chronic myeloid leukaemia affects white blood cells called myloblasts. These leukaemic white blood cells gradually crowd the bone marrow, disrupting normal blood cell production. They also spill out of the bone marrow and circulate around the body via the bloodstream.
As with other types of Leukaemia, the white blood cells aren’t fully developed and are therefore unable to fight infections. Meanwhile, the disease causes a shortage of red blood cells and platelets. Patients will therefore experience symptoms of anaemia, bleeding and/or bruising.
Usually, CML develops gradually. It is often diagnosed according to three different stages of progression: the chronic phase, the accelerated phase, and the blast phase. These stages are defined by the number of immature white blood cells in the blood and bone marrow, as well as the intensity of symptoms. CML is known to change into a fast-growing acute leukaemia.
Because CML is typically slow to develop, it can be present for a number of years before it is detected. CML is diagnosed by a full blood count (FBC) and a bone marrow biopsy/examination.
Depending on the phase of the disease, general health of the patient and their age, different treatment schedules will apply. During the chronic phase, which is generally low-risk, treatment is designed to control the progression of CML and keep blood counts with a relatively normal range. The treatment can usually be taken at home, via an oral chemotherapy tablet.
Treatment may also involve a type of tyrosine kinase inhibitor (to prevent the function of the mutated ph- chromosome).
For patients with accelerated chronic myeloid leukaemia, the disease has progressed more quickly and symptoms have started to develop. In the blast phase, the situation is again higher-risk.
Depending on the severity of the disease, patients will undergo a combination of chemotherapy drugs given intravenously. This treatment is designed to eliminate the leukaemic blood cells, bringing blood levels back to the chronic stage of the disease.
Sometimes, in cases with significantly high levels of leukaemic cells in their blood, a process called ‘leukopheresis’ might be used. Similar to dialysis, this process removes the cells from the blood by passing it through a special machine, before the blood is passed back into the body.