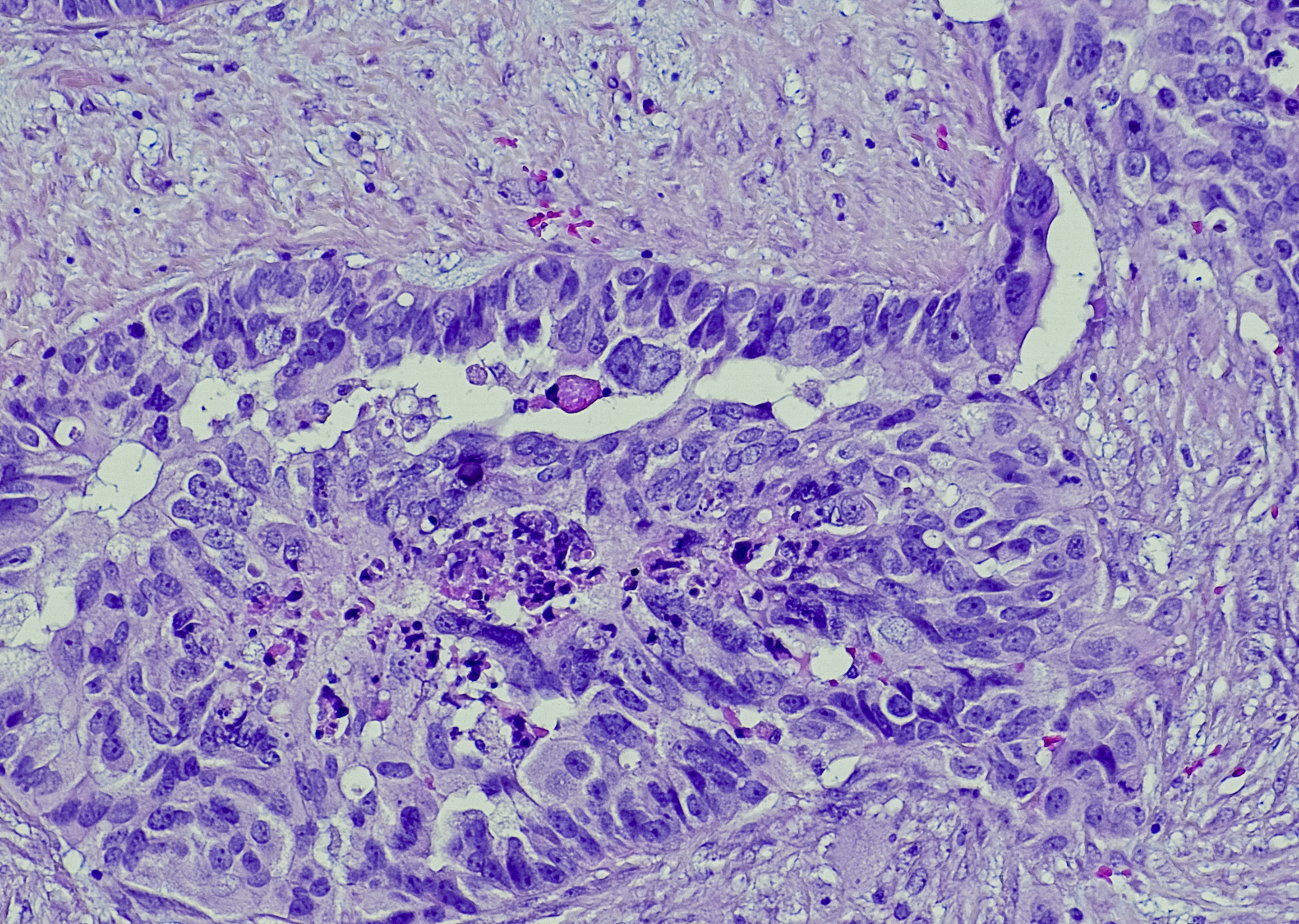
Ovarian Cancer is a disease where some of the cells in one or both ovaries (the two small almond shaped organs that are part of the female reproductive system) start to grow abnormally and develop into cancer.
The ovaries are made up of germ cells, stromal cells and epithelial cells and each of these are susceptible to different cancers.
There are four main types of Ovarian Cancer, these are:
Both germ cell and sex-cord stromal cell ovarian cancers respond well to treatment and have a higher survival rate. If only one ovary is affected by either of these two cancers it may be possible for younger women to have children after treatment.
Sometimes Ovarian Cancer cells travel in the bloodstream or lymphatic system to other parts of the pelvis, or to areas outside the pelvis such as the lungs or liver. This is called advanced ovarian cancer (or metastatic ovarian cancer).
It is important to note that the symptoms of ovarian cancer are often vague and can be similar to the symptoms of many other conditions that can be part of everyday life. If any of these symptoms are experienced in an unusual way or persist, it is important to discuss them with your GP.
Treatment for Ovarian Cancer usually involves a combination of surgery and chemotherapy. Less often, treatment may include radiotherapy. The type of treatment women receive depends on the type and stage of their ovarian cancer and their general health.
The first treatment stage of ovarian cancer is generally an operation called a laparotomy. This operation is also the main way that a diagnosis of ovarian cancer is confirmed.
A vertical cut is made to look inside the abdomen and a small section of the ovarian tumour is removed for examination (a biopsy). This is called a frozen section. If the frozen section confirms that the tumour is cancer, the operation will continue.
If cancer is confirmed and the disease appears confined to the ovary, a ‘staging laparotomy’ will take place, involving biopsies taken from the omentum, peritoncum and lymph nodes to see if and where the cancer has spread.
Depending on the stage of the cancer the operation can involve removal of both ovaries, fallopian tubes, the uterus, the omentum (the fat pad around the organs in your abdomen), the appendix and some of the lymph glands in the area. Sometimes it may be necessary to remove some of the bowels.
Most women with ovarian cancer will require chemotherapy. Chemotherapy treatment is given under the guidance of a medical oncologist. Radiotherapy is rarely used as a primary treatment for ovarian cancer, but rather as part of overall treatment.
Everyone’s situation and ovarian cancer is different. A treatment plan for one woman may not be suitable for another woman.
Deciding on the most appropriate treatment(s) means weighing up the possible benefits and side effects of each treatment. Treatment is best managed by a gynaecological oncologist.
A family history of Ovarian Canceris the strongest risk factor for developing the disease. Inheriting a faulty BRCA1 or BRCA2 gene is involved in most cases of hereditary ovarian cancer.
Women who inherit a mutation in the BRCA1 gene have approximately a 40% lifetime risk of developing ovarian cancer, while women who inherit a faulty BRCA2 gene have approximately 10-15% risk of developing ovarian cancer.