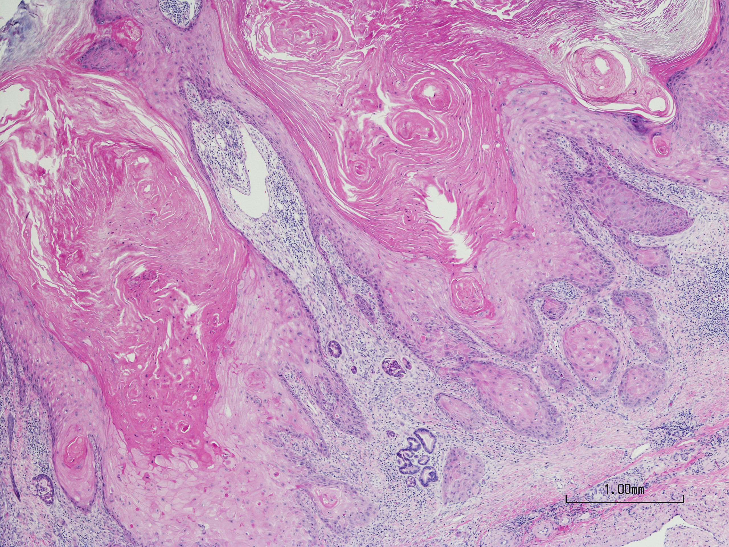
Squamous Cell Skin Cancers are more likely than basal cell cancers to grow into deeper layers of skin and spread to other parts of the body, although this is still uncommon.
Around 20% of Skin Cancers are squamous cell cancers, also known as Squamous Cell Carcinomas. They usually appear on sun-exposed areas of the body such as the face, ears, neck, lips, or backs of the hands. They can also develop in scars or chronic skin sores elsewhere.
Squamous cell carcinomas usually appear as growing lumps, often with a rough, scaly, or crusted surface. They may also look like flat reddish patches in the skin that grow slowly. They tend to occur on sun-exposed areas of the body such as the face, ear, neck, lip, and back of the hands. Less often, they form in the skin of the genital area.
Small Squamous Cell Skin Cancers can usually be cured with the following methods and the recurrence rate is similar to that for basal cell skin cancers.
Larger squamous cell cancers are harder to treat, and the chance of recurrence for fast-growing cancers can be as high as 50% for large, deep tumours. In rare cases, squamous cell skin cancers may spread to lymph nodes or distant sites. If this happens, further treatment with radiation therapy and/or chemotherapy may be needed.
Different types of surgery can be used to treat squamous cell skin cancers. Excision is regularly used to treat squamous cell skin cancers, whilst curettage and electrodesiccation are useful methods for treating small, thin tumours (less than 1cm across).
Mohs Surgery has the highest cure rate and is particularly useful for squamous cell skin cancers larger than 2cm across or with poorly defined edges. It is also useful for skin cancers that have come back after other treatments, tumours that are spreading along nerves under the skin, and for cancers on certain areas of the face or genital area.
Radiation therapy can be a good option for patients with large squamous cell skin cancers, especially in areas where surgery would be difficult or for patients who may not be able to tolerate surgery. It is not used very often as an initial treatment in younger patients due to the possible risk of long-term problems.
Radiation therapy can be sometimes used in conjunction with surgery, if all of the cancer was not removed. It can also treat cancers that have returned and have become too large or deep for further surgery.
Cryosurgery is used for some early squamous cell skin cancers, especially in people who cannot have surgery, but it is not recommended for larger invasive tumours.
If a squamous cell skin cancer is advanced, the following treatment options may be necessary:
Removing nearby lymph nodes is recommended for some large or deeply invasive squamous cell skin cancers and in cases where the lymph nodes feel enlarged and/or hard. After the lymph nodes are removed, they are looked at under a microscope to see if they contain cancer cells. In some cases, radiation therapy might be recommended after surgery.
Systemic chemotherapy is an option for patients with squamous cell skin cancer that has spread to lymph nodes or distant organs. In some cases it is combined with surgery or radiation therapy.
Fortunately, most squamous cell cancers can be cured with fairly minor surgery or other types of local treatments.
Squamous cell cancers, or squamous cell carcinomas (SCC), make up approximately 20% of all skin cancers. This type of cancer usually occurs on skin areas that are frequently exposed to the sun, including the face, neck, lips and back of the hands.
Squamous cell is one of two subtypes of non-small cell lung cancer which start in the cells lining the airways of the lungs. Non-small cell cancers account for 80 – 90% of lung cancers.
Skin cancer of squamous cell type can develop in the cells that line the airways of the lungs, typically near a primary air passage.
Without treatment, SCC tends to stay and can even become more severe. It has the potential to invade into deeper layers of the skin and extend its reach to other parts of the body.
SCC often has a rapid growth rate over weeks or months. It is crucial to seek medical attention if you observe a persistent sore, scab or scaly patch of skin that doesn’t heal within 2 months.
SCC is not as dangerous as melanoma and early detection of SCC’s can lead to successful treatment. However, if left untreated, these lesions can become disfiguring, dangerous and even deadly.
SCC can be deadly if left untreated, spreading to other parts of your body. Every year, people in Australia die from aggressive SCCs.
Individuals who have fair skin and are more prone to burning rather than tanning, accompanied by freckles, light or red hair and light-coloured eyes have an inherited risk of developing SCC.