Stomach Cancer (also called gastric cancer) is a disease in which malignant cancer cells form in the lining of the stomach.
Stomach Cancer can develop in any part of the stomach, a J-shaped organ in the upper abdomen where digestion commences before food passes to the intestines. It is thought to develop slowly over many years.
When muscles in the stomach break down food, gastric juices are released from glands in the mucosa, which is the inner stomach layer. They turn food into a thick fluid and nutrients from this are absorbed through the small bowel’s walls into the bloodstream.
The wall of the stomach is made up of 3 layers of tissue:
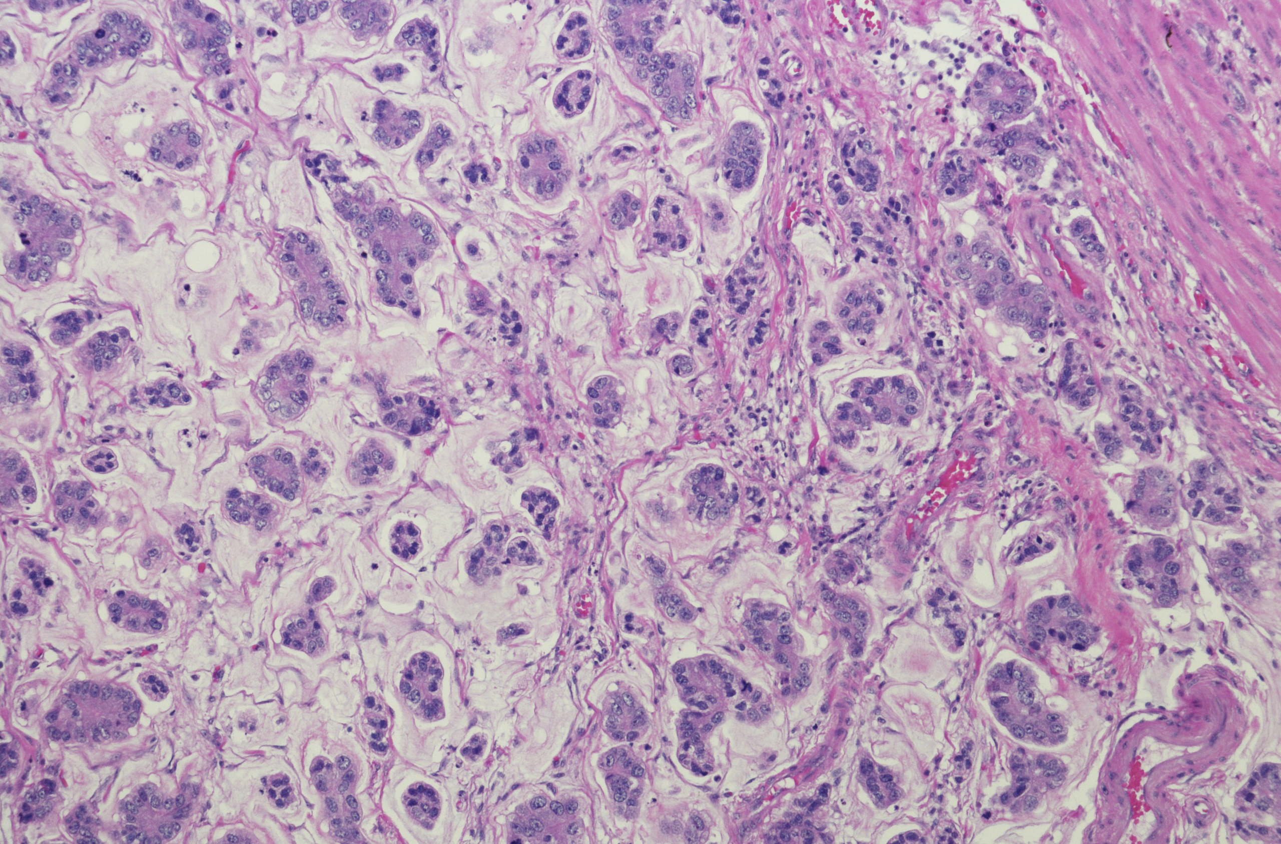
Around 90 to 95 per cent of Stomach Cancers develop in cells lining the mucosa – these are called adenocarcinomas, and they spread through the outer layers of the stomach. Other types include squamous cell carcinoma, lymphoma, stromal tumours, and carcinoid tumours, however these are rare.
As stomach cancer often doesn’t cause symptoms until the advanced stages, it is often detected at a later stage. Unusual changes in the stomach lining often preface stomach cancer.
It’s important to note that a number of conditions may cause these symptoms, not just Stomach Cancer.
In more advanced stages of gastric cancer, the following symptoms may occur:
Your GP should be consulted if any of these problems occur.
Tests that are typically used to examine the stomach and oesophagus are used to diagnose stomach cancer. These include:
Treatment will depend on how large the tumour has grown, how deeply it has invaded the stomach’s layers and whether it has spread to nearby organs, lymph nodes or other body parts.
Surgery is a common treatment in all stages of stomach cancer. The main treatment is gastrectomy surgery:
If the tumour is blocking the stomach but the cancer cannot be completely removed by standard surgery, the following procedures may be used:
Recent studies indicate a combination of surgery, chemotherapy and radiation offers the best chance of survival for stomach cancer patients.
Chemotherapy can be given when cancers have invaded the layers of the stomach wall, nearby lymph nodes, and nearby organs. It can also be given before surgery to shrink a tumour.
Radiation is most commonly used in combination with chemotherapy.