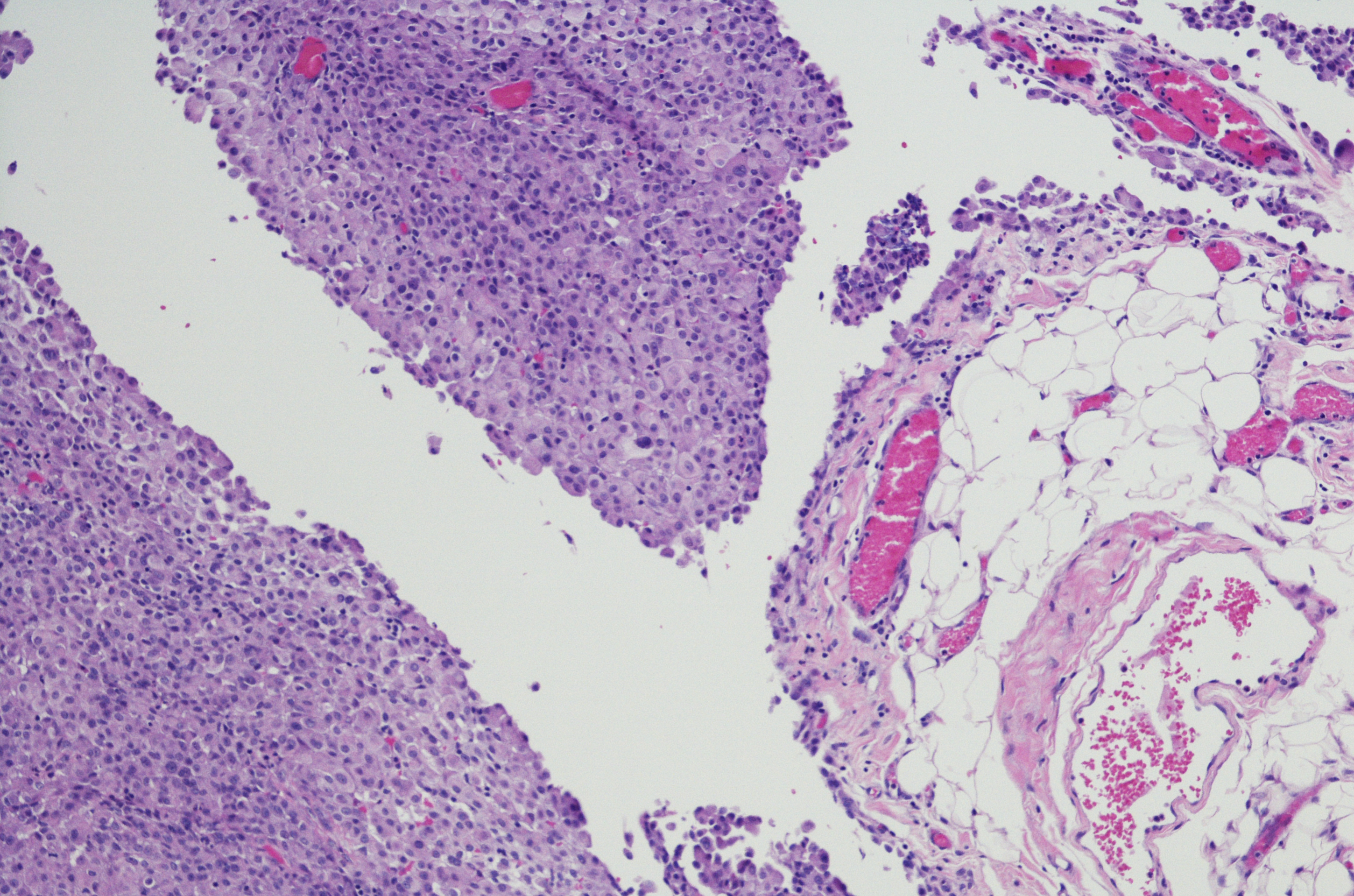
The peritoneum is the thin layer of tissue or epithelium lining the organs in the abdomen, including the uterus, bladder and rectum.
It produces a fluid that helps the organs move smoothly inside the abdomen.
Peritoneal cancer is cancer that begins in the peritoneum. It affects women over 60. It is very rarely found in men.
Symptoms of Peritoneal cancer include pain localised to the stomach area, feeling unwell, bloating, unexplained appetite loss or weight gain.
The symptoms are vague but similar to that of Ovarian cancer. This is because both the Peritoneum and surface of the ovaries are made of epithelial cells.
Please note this is a very rare type of cancer.
Diagnosis of Peritoneal Cancer is done via a specialist, using tests including a biopsy.
Post-diagnosis, treatment is similar to that of Ovarian cancer. This is because the lining of the abdomen and the ovary are of similar makeup.
Treatment aims to remove the tumours and visible cancerous tissue and may be augmented by chemotherapy or radiotherapy.
As with many cancer types, the exact causes of Peritoneal cancer is unknown. Risk factors include the presence of Ovarian cancer, the presence of BRCA 1 or BRCA 2 genetic mutations and age.